@@蔡醫師的心路歷程:
我愛美,喜歡欣賞所有美的事物,也像所有女生一樣每天努力的保養與運動,所以完全能體會病患想變美的決心!盡全力將我所認知的美,或許是牙齒矯正,或許是正顎手術,或許是電腦設計的瓷貼片全瓷冠,呈現在每一個與我有緣份的患者,當他們拿起鏡子看到是超乎預期的OK,就是我最大的成就感!
蔡佩晏醫師 發表在 痞客邦 留言(12) 人氣(4,340)

骨性小顎病人如果矯正醫師診斷需要搭配正顎手術,請務必配合!因爲這類病人通常30歲之後會有睡眠呼吸中止的問題
蔡佩晏醫師 發表在 痞客邦 留言(0) 人氣(14)
(4) 上顎骨正常,下顎骨較後縮 (Weak chin)這類病人的診斷比較複雜,不能只有看到上下顎前牙的距離(Overjet),還要考慮到呼吸道狹窄(Airway constriction)的問題,矯正醫師可以會請病人將下顎移往前咬在edge-to-edge並拍攝側臉照片幫助診斷!
蔡佩晏醫師 發表在 痞客邦 留言(0) 人氣(7,646)

深咬(deep bite)病人常常屬於短臉的類型, 深咬也是屬於讓矯正醫師很頭痛的問題!一般我們會合併使用一些裝置如ABP (anterior bite plate)或拉橡皮筋來使後牙長長(extrude), 讓臉變長一些
美例分享---35歲工程師
主訴:深咬
蔡佩晏醫師 發表在 痞客邦 留言(0) 人氣(8,177)

最好不要先植牙後矯正, 因為植牙本身不會動, 增加矯正醫師的治療難度!如果想要全口治療, 先牙齒矯正, 把地基整理好, 後續才是假牙或植牙製作。
美例分享---24歲高中英文老師矯正器種類: TP plus 和AVEX矯正系統混搭治療方式: 拔左上顎第一小臼齒治療時間: 2年11個月[ 案例照片均經由當事人同意刊載露出,並簽署同意授權書。]
蔡佩晏醫師 發表在 痞客邦 留言(0) 人氣(9)

"隱適美"是牙齒矯正的一種方式,如果您的合作度高, 可以考慮使用哦!
隱形矯正需要病人除了吃東西之外都要戴著, 一天至少配戴22小時!
蔡佩晏醫師 發表在 痞客邦 留言(1) 人氣(189)

如果矯正醫師診斷為骨性戽斗的話, 它的特徵是下顎前牙會往內凹, 上顎前牙會向外飆, 讓主人看起來不那麽戽斗!
骨性嚴重的病人需要搭配正顎手術才能達到完整的治療!
蔡佩晏醫師 發表在 痞客邦 留言(1) 人氣(20)

因為某些原因, 可能是搬家或原來醫師人生規劃的問題或原牙醫過世而無法繼續在原處進行矯正治療!
美例分享---23歲2個月護理師
蔡佩晏醫師 發表在 痞客邦 留言(0) 人氣(4,458)
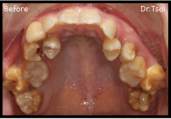
一開始看到這樣的齒列, 覺得很有挑戰! 感恩病人的配合和努力!
蔡佩晏醫師 發表在 痞客邦 留言(0) 人氣(152)

東方人的牙弓通常比較狹窄,鼻子也沒有西方人那麼挺,所以常常需要拔牙來改善牙齒擁擠和維持臉型!
蔡佩晏醫師 發表在 痞客邦 留言(0) 人氣(1,040)